For US Healthcare
Professionals Only

Look beneath the surface with multimodal imaging

A comprehensive eye exam with imaging can help with the early detection of geographic atrophy (GA).2,3

Look for these diagnostic biomarkers

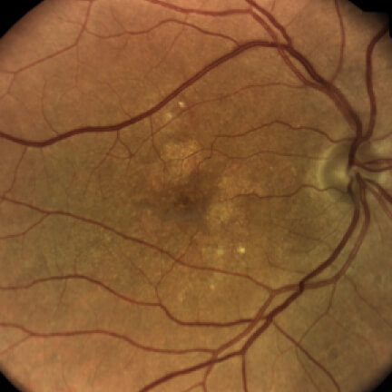
Color Fundus Photography (CFP)

Image courtesy of Dr. Mark Dunbar.

CFPCommonly used for a baseline, although small lesions may be difficult to distinguish3

Identify Biomarkers


Hypopigmented lesions are often circular and sharply demarcated with increased choroidal visibility.2

CFPCommonly used for a baseline, although small lesions may be difficult to distinguish3

Image courtesy of Dr. Mark Dunbar.

Hypopigmented lesions are often circular and sharply demarcated with increased choroidal visibility.2

Identify Biomarkers

Fundus Autofluorescence (FAF)

Image courtesy of Dr. Mark Dunbar.

FAFUseful for visualizing progression and educating patients2,3,9

Identify Biomarkers


Dark hypofluorescence indicates areas of atrophic lesions, whereas lighter hyperfluorescent areas highlight accumulation of lipofuscin, which is prognostic of GA progression.2

FAFUseful for visualizing progression and educating patients2,3,9

Image courtesy of Dr. Mark Dunbar.

Dark hypofluorescence indicates areas of atrophic lesions, whereas lighter hyperfluorescent areas highlight accumulation of lipofuscin, which is prognostic of GA progression.2

Identify Biomarkers

Optical Coherence Tomography (OCT)

Image courtesy of Dr. Mark Dunbar.

OCTEstablished as a key reference when assessing individuals for initial GA diagnosis9,10

Identify Biomarkers


Hypertransmission defects through the choroid point to areas of absent retinal pigment epithelium (RPE), photoreceptors (PR), and choriocapillaris layers.2

OCTEstablished as a key reference when assessing individuals for initial GA diagnosis9,10

Image courtesy of Dr. Mark Dunbar.

Hypertransmission defects through the choroid point to areas of absent retinal pigment epithelium (RPE), photoreceptors (PR), and choriocapillaris layers.2

Identify Biomarkers

Dr. Julie Rodman

Detecting the signs of early GA

Dr. Julie Rodman explains how multimodal imaging can help you detect GA earlier and assess the risk for progression.

See real patient scans from eye care professionals who keep GA on their radar


ASSESS Progression

Evaluate risk factors that elevate treatment urgency.

IMPORTANT SAFETY INFORMATION AND INDICATION

INDICATION

IZERVAY™ (avacincaptad pegol intravitreal solution) is indicated for the treatment of geographic atrophy (GA) secondary to age-related macular degeneration (AMD)

CONTRAINDICATIONS

IZERVAY is contraindicated in patients with ocular or periocular infections and in patients with active intraocular inflammation.

CONTRAINDICATIONS

IZERVAY is contraindicated in patients with ocular or periocular infections and in patients with active intraocular inflammation.

WARNINGS AND PRECAUTIONS

Endophthalmitis and Retinal Detachments

  • Intravitreal injections, including those with IZERVAY, may be associated with endophthalmitis and retinal detachments. Proper aseptic injection technique must always be used when administering IZERVAY in order to minimize the risk of endophthalmitis. Patients should be instructed to report any symptoms suggestive of endophthalmitis or retinal detachment without delay and should be managed appropriately.

Neovascular AMD

  • In clinical trials, use of IZERVAY was associated with increased rates of neovascular (wet) AMD or choroidal neovascularization (7% when administered monthly and 4% in the sham group) by Month 12. Over 24 months, the rate of neovascular (wet) AMD or choroidal neovascularization in the GATHER2 trial was 12% in the IZERVAY group and 9% in the sham group. Patients receiving IZERVAY should be monitored for signs of neovascular AMD.

Increase in Intraocular Pressure

  • Transient increases in intraocular pressure (IOP) may occur after any intravitreal injection, including with IZERVAY. Perfusion of the optic nerve head should be monitored following the injection and managed appropriately.

ADVERSE REACTIONS

Most common adverse reactions (incidence ≥5%) reported in patients receiving IZERVAY were conjunctival hemorrhage, increased IOP, blurred vision, and neovascular age-related macular degeneration.

INDICATION

IZERVAY™ (avacincaptad pegol intravitreal solution) is indicated for the treatment of geographic atrophy (GA) secondary to age-related macular degeneration (AMD)

Please see full Prescribing Information.

IMPORTANT SAFETY INFORMATION AND INDICATION

CONTRAINDICATIONS

IZERVAY is contraindicated in patients with ocular or periocular infections and in patients with active intraocular inflammation.

WARNINGS AND PRECAUTIONS

Endophthalmitis and Retinal Detachments

  • Intravitreal injections, including those with IZERVAY, may be associated with endophthalmitis and retinal detachments. Proper aseptic injection technique must always be used when administering IZERVAY in order to minimize the risk of endophthalmitis. Patients should be instructed to report any symptoms suggestive of endophthalmitis or retinal detachment without delay and should be managed appropriately.

Neovascular AMD

  • In clinical trials, use of IZERVAY was associated with increased rates of neovascular (wet) AMD or choroidal neovascularization (7% when administered monthly and 4% in the sham group) by Month 12. Over 24 months, the rate of neovascular (wet) AMD or choroidal neovascularization in the GATHER2 trial was 12% in the IZERVAY group and 9% in the sham group. Patients receiving IZERVAY should be monitored for signs of neovascular AMD.

Increase in Intraocular Pressure

  • Transient increases in intraocular pressure (IOP) may occur after any intravitreal injection, including with IZERVAY. Perfusion of the optic nerve head should be monitored following the injection and managed appropriately.

ADVERSE REACTIONS

Most common adverse reactions (incidence ≥5%) reported in patients receiving IZERVAY were conjunctival hemorrhage, increased IOP, blurred vision, and neovascular age-related macular degeneration.

INDICATION

IZERVAY™ (avacincaptad pegol intravitreal solution) is indicated for the treatment of geographic atrophy (GA) secondary to age-related macular degeneration (AMD)

Please see full Prescribing Information.

Images courtesy of Heidelberg Engineering, Dr. Julie Rodman, and Dr. Mohammad Rafieetary.